One session, Upto 3 years of cavity protection
No drilling. No pain. Just peace of mind

Cavity Shield
₹2999
₹2399
/member
What's included

Oral Assessment
Your dentist will do an oral assessment and explain your overall condition

Debris Removal
Existing food debris will be removed with our polishing brush

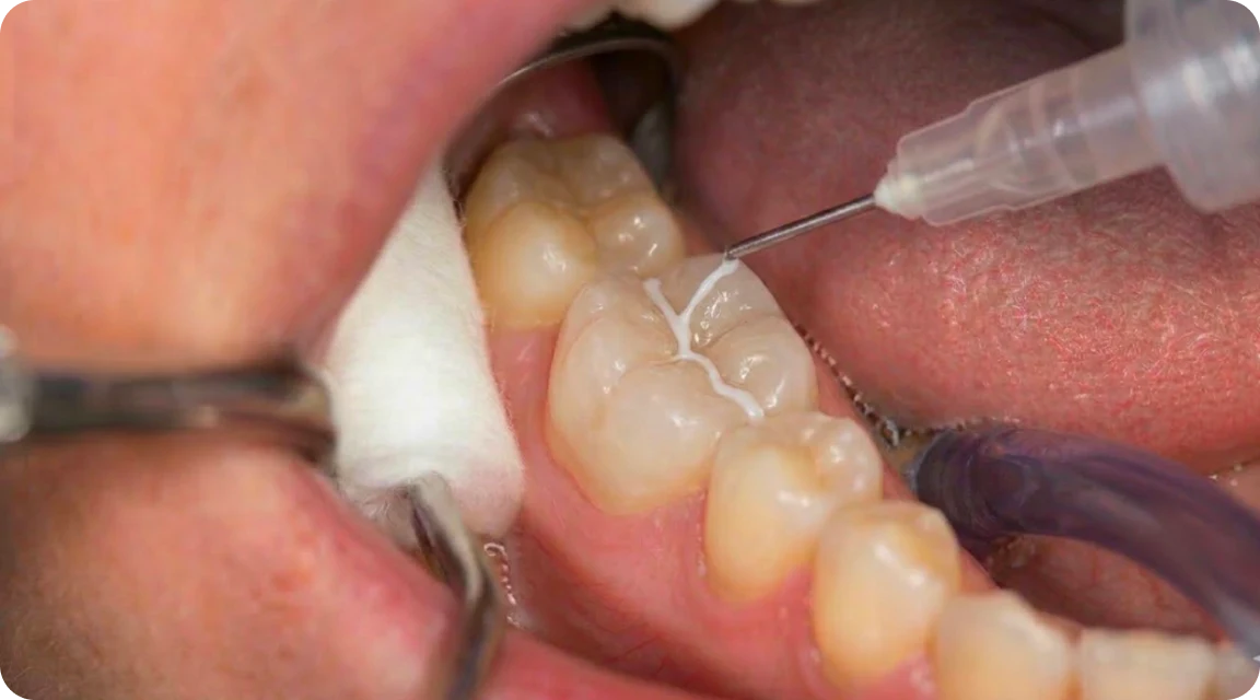
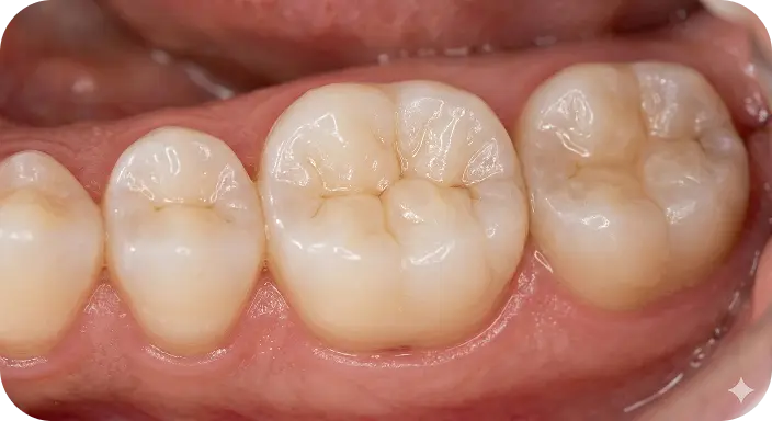
Sealant Application
A tooth-coloured coating seals grooves against bacteria to protect your tooth

Fluoride Application
Flouride gel will be applied using trays, placing it in your mouth as per dental protocol

Detailed Care Plan
Get a tailored care plan to maintain hygiene and lasting freshness
Strongly Recommended For
Pit and fissure sealant lasts for about
1-3 years when taken care of well,
prevents decay by forming a barrier
against bacteria
Cura Care Promise
100% Results Guaranteed
If you’re not satisfied, get full refund.
Which treatment do I need?
Why choose Cura Care?
Experienced
Dentists
Clinic-grade
materials
Comfort of
your home
Products We Use

Etchant
(37% Ortho-phosphoric acid)

Pit and fissure sealant
(3M Clinpro)

Fluoride Gel
(12,500 ppm APF)

Single-use Mouth trays
Service pre-requisites
Keep a well-lit area ready! We’ll take care of the rest
Should brush teeth thoroughly before the appointment, there should be minimal plaque and food debris
Avoid eating immediately before the procedure to prevent debris accumulation in pits and fissures
Step-by-Step Procedure
1
Oral Assessment
It includes full mouth check-up and assessing the tooth requiring sealant

2
Debris Removal
A polishing brush will be used to remove any superficial debris and plaque on the surface of the teeth

3
Etchant Application
The tooth is rendered dry then a blue liquid is applied for few seconds, washed and dried

4
Sealant Application
The tooth coloured sealant is then applied along the grooves

5
Set and Finish
The sealant sets under a blue light, dentist checks for any high points and ensures comfort

6
Fluoride Gel Application
Trays are placed in your mouth, and you gently bite down for about 4 minutes while the gel coats and strengthens your teeth

7
Gel Removal and Rinse
The trays are removed, excess gel is gently suctioned, and you simply spit out the rest

8
Final Comfort and Instructions
The dentist guides you through simple care instructions and a detailed oral care plan to make results last longer

Things we would need
⏰ 30-45 mins of your time
🔌 A plug point & Table

Cura Care Dentists
Licensed Dentists
Trained & experienced inpreventive dentistry
Personalized Care
We assess every toothand tailor the sealantapplication precisely
Cura Care dentists are certified by the Dental Council of India (DCI) and follow strict sterlization and care protocols.

Aftercare Tips
Avoid eating or drinking for 30 minutes after the procedure
Avoid sticky or hard foods for 24 hours
No brushing or flossing for 4-6 hours
Avoid using mouthwash for 12 hours
Avoid smoking or alcohol for 24 hours
2500+ reviews by our happy customers
